CASO 1
Paciente varón de 47 años de edad, con antecedentes de haber trabajado en interior mina durante 8 años, no fuma, bebe ocasionalmente hasta llegar a la embriaguez. Hace 20 años sufrió Tuberculosis Pulmonar, recibiendo tratamiento durante 9 meses, habiendo cumplido con todo el esquema recibido.
Ingresa por cuadro de 2 semanas de evolución, con edema de miembros inferiores y disnea hasta los medianos esfuerzos.
Al examen físico, paciente cianótico, taquipneico; cuello con IY ++; precordio con latido paraesternal izquierdo bajo, corazón con ruidos cardiacos rítmicos, R2P reforzado, soplo protomesosistólico III/VI en área tricuspídea. Pulmones con abolición del murcullo vesicular en área escapular derecha y estertores gruesos en área subescapular derecha. Hepatomegalia a 3 cm DRCD, no ascitis. Edema de miembros inferiores, godet positivo, hasta ambas rodillas. Manos con acropaquía, como vemos en la foto.
A continuación vemos la radiografía PA de tórax y la lateral, finalmente el ECG.
CASO 2
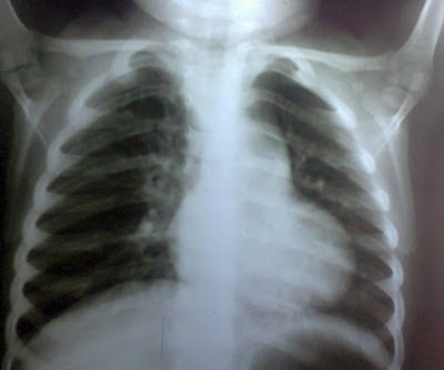
Paciente varón de 2 años de edad,sin cianosis al nacimiento ni al presente. La madre refiere frecuentes cuadros bronquiales. Al examen, con déficil pondo-estatural para su edad, con signos vitales estables. Corazón con ruidos rítmicos, FC = 130 lpm, soplo holosistólico IV/VI en área tricuspídea, soplante, irradiado "en rueda". No hay signos de insuficiencia cardiaca. Pulmones con MV conservado. Pulsos periféricos normales.
La Rx PA de tórax es la siguiente:
El ECG muestra:
CASO 3
Paciente femenina de 64 años
Sin antecedentes de fiebre reumática
Diagnóstico de cardiopatía hace 10 años, internada en 3 ocasiones por insuficiencia cardiaca. Control y tratamiento inadecuados.
AVC isquémico de hemisferio derecho hace 3 años
Inicio de síntomas actuales: 5 días
Síntomas: Disnea evolutiva a la ortopnea, edema de miembros inferiores, compromiso del estado general.
Examen Físico: Disneica, emaciada, facies mitral, IY ++
PA = 90/60 mmHg; FC = 80 x’; FR = 24 x’; T = 37ºC
Corazón: ruidos arrítmicos, R1 brillante, R2 hipofonético, chasquido de apertura mitral, retumbo diastólico II/VI, soplo sistólico III/VI en área tricuspídea.
Pulmones con MV conservado en forma bilateral
Hepatomegalia a 6 cm debajo de reborde costal
Edema de miembros inferiores hasta rodillas
Tratamiento: Digoxina, diuréticos, warfarina
La Radiografía PA de tórax muestra:
El electrocardiograma: (El orden es DI, DII, DIII, aVR, aVL, aVF y de V1 a V6).
Los exámenes de laboratorio:
Hemograma: Hb = 17,6 g%; Hto = 53%, serie blanca normal
Química sanguínea: Glucemia = 93 mg/dl; creatinina = 0,8 mg/dl; proteínas totales = 7 mg/dl; albúmina = 4,2 g/dl; bilirrubina total = 6,6 mg/dl; bilirrubina directa = 3,7 mg/dl; bilirrubina indirecta = 2,9 mg/dl; GOT = 5 U/l, GPT = 5 U/l; Na = 134 mEq/l; K = 3.77 mEq/l; Cl = 93 mEq/l. T. protrombina = 21”; actividad = 25%; INR = 2,9
Examen general de orina normal
Aquí tenemos las imágenes ecocardiográficas:
Discutan bien el caso y analícenlo con detalle.







